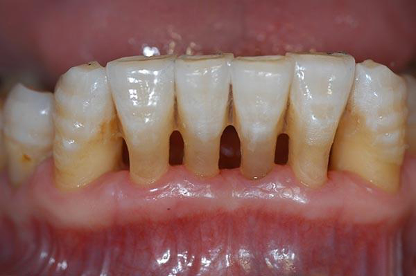
金水莱安雅口腔门诊部位于郑州市纬四路与经一路交叉口西南角
24小时牙医在线咨询,咨询热线:0371--6032 5032.安雅口腔——家门口
24小时牙医在线咨询的高端口腔医院.
乌鲁木齐
微信号:yibaotq8
添加微信好友, 获取更多信息
复制微信号
乌鲁木齐 安雅口腔是经国家卫生行政部门审批24小时牙医在线咨询,采用连锁经营模式的大型现代化口腔医疗机构24小时牙医在线咨询,是集口腔预防、保健、医疗为一体的综合性医疗保险定点医疗单位、目前在北京、郑州、安阳、许昌等多个城市建立了直营连锁门诊24小时牙医在线咨询,总投资1200余万元,会员超过10万人.


乌鲁木齐